나이가 들면서 이곳저곳 아픈 데가 생기는데요. 요즘 들어서는 걸을 때마다 고관절 쪽이 욱신욱신 쑤시면서 운동을 나가기도 힘들어질 때가 있습니다.
처음엔 대수롭지 않게 여겼는데 시간이 갈 수록 점점 더 자주 아프게 되더라고요. 그래서 고관절 통증에 대해 찾아봤더니 무시하고 지나가서는 안될 것 같아 공유하고자 올려봅니다.






고관절이란?
고관절 통증 증상(엉덩관절)은 오른쪽과 왼쪽의 골반과 넙다리뼈가 연결된 관절의 통증을 일컫습니다. 고관절은 상체의 하중을 분산시키는 역할을 하며, 일어서거나 앉거나 일상생활에서 자주 쓰이는 관절이며 부담도 잘 받게 됩니다. 모양도 크기도 탁구공만 합니다. 일상적으로 걸을 때 고관절에 체중의 3~4.5배의 무게가 실리게 됩니다. 계단을 오를 때는 대퇴골두에 전해지는 무게는 몸무게의 8배, 달리는 경우 10배에 가까운 하중을 견뎌내애 한다고 합니다. 탁구공 크기만 한 대퇴골두가 감당하기에는 너무 무겁기 때문에 고관절이 느끼는 부담도 크고 쉽게 손상될 수 있습니다. 다른 관절과 마찬가지로 감당하기 어려운 충격이나 무게가 가해지면 고관절 통증 증상이 발생하게 되는데요. 퇴행성 고관절염, 대퇴골 골절, 대퇴골두 무혈성 괴사, 선천성 고관절 탈구 등이 대표적인 고관절 통증 질환입니다.
고관절 통증 증상 없애려면 고관절 통증 증상 원인을 파악하는 것이 중요하며, 원인에 맞는 치료하게 되면 고관절 통증 증상을 더 효과적으로 치료할 수 있습니다. 일시적으로 경미한 고관절 부상일 경우 치료보다는 휴식이 먼저이며, 일정 기간이 지나면 고관절 통증 증상이 호전되는 경우가 대부분입니다. 고관절 통증 증상의 관절염, 골절, 괴사 등의 증상이라면 고관절 통증 증상 치료를 받아야 하며, 방치할 경우 고관절 통증 증상이 더욱 악화될 수 있습니다.
나쁜 자세 또한 고관절 통증을 일으키게 되는데 자세로 인한 통증은 주로 한쪽에 나타납니다. 한쪽에 체중이 실리면 그쪽 고관절이 아플 수 있으니 다리꼬기, 짝다리 짚기, 비딱하게 앉기 등을 주의하셔야 합니다.. 책상다리 또는 양반다리라고 하는 자세도 삼가하는 것이 좋습니다.
고관절 통증 증상
고관절 통증 증상에 대해 알아보겠습니다.
고관절 통증 증상 1. 비만 또는 과체중
비만 또는 과체중으로 인해 뼈에서 지탱하지 못하고 무혈성 괴사및 지속적인 통증을 발생할 수 있습니다. 우리 체중 1kg씩 올라갈 때마다 우리의 대퇴골과 골반뼈에 입혀지는 압력은 약 3kg이 높아집니다. 또한 비만은 많은 성인병의 원인이 되므로 항상 비만이 되지 않도록 평소에도 체중조절을 하는 것이 좋습니다.






고관절 통증 증상 2. 류마티스 관절염
류머티즘이라는 말 많이 들어보셨을 것 같습니다. 류머티즘은 온몸의 관절에 침투해 염증을 일으키는 질병입니다. 류머티즘 관절염은 만성 관절염 중 두 번째로 많은 질병입니다. 35-50세 사이에서 가장 많이 관찰되며 특히 남녀 1:3의 비율로 여성에게 더 많이 발생하는 것으로 알려져 있습니다.
류머티즘 관절염은 자가면역질환의 하나로 림프구가 우리 몸의 일부인 활막을 세균으로 인식해 공격하고 결국 관절과 관절 주위 뼈를 파괴하는 것입니다. 류머티즘 관절염은 해당 부위뿐만이 아닌 피로감, 발열, 식욕감퇴, 체중감소 등의 증상을 동반할 수 있습니다.
류마티스 관절염은 대개 발생 후 2년 이내에 진단받고 꾸준한 치료를 받아야 호전이 되는 것으로 알려져 있습니다. 고관절이 아픈 증상과 함께 피로감, 열감, 식욕감퇴 등이 수반된다면 병원에 방문해 정밀검사를 받아보는 것이 좋겠습니다.





고관절 통증 증상 3. 좌골 신경통
좌골 신경통에 의해서 고관절에 통증이 올 수 있습니다. 좌골 신경의 자극 또는 염증에 의하여 다리가 아픈 경우인데 좌골 안쪽으로 신경이 다리로 오기 때문에 좌골신경통이 있으면 고관절에도 통증이 옵니다. 좌골신경통에 의하면 등 아래쪽부터 엉덩이와 다리 뒤쪽 부분까지 통증이 옵니다.




고관절 통증 증상 4. 고관절 충돌 증후군
뼈가 과도하게 튀어나와 고관절 충돌이 발생합니다. 비구와 대퇴 경부가 선천적 또는 후천적으로 커져 과도한 스트레칭이나 운동으로 충돌하며 고관절 통증 증상을 유발합니다. 고관절 충돌 증후군으로 인해 고관절 통증 증상이 악화되면 비구순의 파열이 일어나고 관절 연골을 손상시킵니다. 심하면 퇴행성 고관절염에 이를 수 있습니다.
고관절 통증 증상 5.고관절의 무혈성 괴사
무혈관성 괴사란 혈액 순환 장애로 인해 혈액 공급이 원활하지 못하여 뼈가 썩는 병입니다. 대퇴골두 무혈관성 괴사는 허벅지 뼈, 즉 대퇴골의 머리 부분에 피가 통하지 않아 이 부분이 괴사 하게 되는 것입니다. 대부분 30~50대에게 발생하고, 여성보다는 남성에게 더 많이 발생합니다. 약 60% 이상은 양쪽 고관절의 대퇴골두 무혈관성 괴사를 겪습니다. 대퇴골두 무혈관성 괴사를 일으키는 위험 인자로는 음주, 부신피질 호르몬 투여, 고관절 부위 외상, 잠수병, 통풍, 혈청지질 이상, 만성 신질환, 만성 췌장염 등이 있습니다. 이 중에서도 음주와 부신피질 호르몬제가 전체 원인의 90% 정도를 차지합니다.
고관절 통증 증상 6.힘줄에 생긴 염증
고관절 통증 증상 원인 중 힘줄 염증인 건염에서 비롯됩니다. 건염은 과도한 운동으로 발생하는 경우가 대부분입니다.
고관절 통증 증상 7. 골관절염
노화로 연골이 마모되면서 생기는 골관절염은 골절과 같은 관절 외상으로 발생될 수 있으며, 감염성 관절염으로 발생되기도 합니다. 이러한 골관절염은 고관절 통증 증상 원인이 되기도 합니다.



고관절 통증 증상 8.고관절의 화농성 관절염
세균성 관절염으로 외상 및 수술 등에 의해서 세균이 직접 주입되거나 인접한 부위의 골수염, 봉소염 등의 전파 등으로 인해서 관절 내에 세균이 침범하면서 발생하는 질환입니다.
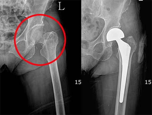
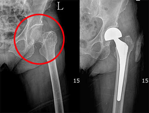
고관절 통증 증상 9.대퇴 경부 골절
대퇴 경부 골절은 대퇴 골도로 가는 혈관이 손상되어 대퇴 골도의 무혈성 괴사와 불유합을 초래할 수 있기 때문에 응급으로 내 고정술을 시행하는 수술적인 치료가 필요합니다.


고관절 통증 증상 10. 과격한 운동 및 신체활동
헬스, 축구, 달리기, 등산와 같이 과격한 신체활동이나 스포츠를 즐기는 사람들에게는 골반의 기형 증상과 연골이 파열되기도 하는 부작용이 생길 수 있습니다.
고관절 통증 증상 11.평소 자세 불량
학생 및 운전을 많이 하는 사람 그리고 회사원처럼 온종일 계속 앉은 상태로 업무를 하는 사람들은 인대와 굴곡근 및 근처에 있는 연부조직들과 뼈를 들어주고 있는 중요한 기관들이 힘을 잃어서 약해지게 됩니다. 계속 앉아있으면서 불편한 자세가 지속되면서 고관절 통증을 유발할 수 있습니다.



지금까지 고관절 통증 증상에 대해 알아보았습니다.
의외로 많은 이유와 증상들이 있는데요. 개인마다의 상황이 다르니 병원에서 정확한 진단을 받아 치료를 이어가는 것이 좋겠습니다.
* 상기 내용은 개인적으로 조사한 내용이니 참고만 하시기 바랍니다.
2022.12.16 - [분류 전체보기] - 여주 효능 부작용
여주 효능 부작용
여주는 제게 아주 생소한 식품입니다. 채소인지 과일 인지도 잘 모르겠고. 토마토가 그런 것과 비슷한데요. 여주는 박과 식물로 수박이나 참외와 유사한 과일 채소로 분류됩니다. 여주는 1년생
blkkong.arriblog.com
2022.12.15 - [분류 전체보기] - 어지럼증의 원인
어지럼증의 원인
일상생활을 하면서 누구나 한 번쯤은 어지럼증을 경험해보셨을 겁니다. 저도 가끔 앉았다 일어날 때 갑자기 눈앞이 캄캄하고 핑 돌면서 비틀거리고 넘어질 뻔한 적이 있습니다. 어지럼증 증상
blkkong.arriblog.com
2022.12.15 - [분류 전체보기] - 콜라겐의 효능과 부작용
콜라겐의 효능과 부작용
나이가 들면서 분에 띄게 피부탄력이 떨어진다는 느낌을 받습니다. 쳐지고, 주름이 생기고 거울을 들여볼 때면 한숨만 나온다는 친구들 얘기도 많이 듣는데요. 모든사람들은 실제 나이보다 더
blkkong.arriblog.com
'건강상식' 카테고리의 다른 글
| 방광염에 좋은 음식 (0) | 2022.12.17 |
|---|---|
| 혈압 낮추는 법 (0) | 2022.12.17 |
| 공황장애 증상 (0) | 2022.12.17 |
| 외상 후 스트레스 장애 (0) | 2022.12.17 |
| 독감 증상 (0) | 2022.12.16 |
댓글